Специалистам
The Pancreatic Metastasis of Clear Renal Cell Carcinoma Confirmed by EUS-FNA
Patient History
An asymptomatic man, 58-year-old was treated for clear renal cell cancer six years ago. Control CT showed the hyper-vascularized solid nodule (2.1x1.9cm) in the head of the pancreas. Endoscopic Ultrasound-Fine Needle Aspiration (EUS-FNA) was indicated for diagnosis.
Procedure
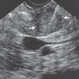
The EUS showed a hypoechoic and homogeneous nodule within precise limits, located in the uncinate process. The lesion measured 2.2x1.8cm in length. The Doppler signal was negative. The lesion was distant from the main pancreatic duct and the common bile duct. The FNA was performed with the Expect™ Needle (22G) with a large amount of material that was sent to microhystology (Figure 1).
Patient Outcome
The diagnosis was clear renal cell carcinoma [HE (Figure 2)] with immunohistochemistry (Figure 3)]. The patient was submitted to duodenopancreatectomy. The follow-up after six months showed good results of the treatment.
Discussion
Performing trans-duodenal EUS-FNA in tumors in the uncinate process can be technically challenging. In
this case, there was no technical difficulty either with trans-duodenal needle deployment or with the Expect Needle. It appears that Cobalt Chromium, a feature in the construction of the Expect Needle, may contribute to its better maneuverability and low-needle memory.



